Перейти к содержанию
поддержать поддержать
наблюдение я очевидец!

Поиск сообщества

Показаны результаты для тегов 'уфология имплантация томограф'.

  • Поиск по тегам

    Введите теги через запятую.
  • Поиск по автору

Тип контента


Форумы

  • О проекте
    • Отзывы, предложения, замечания
    • Технические вопросы
    • Правила
  • Направления работы и исследований
    • Экспедиции, встречи, проекты
    • Направление: уфология, аномальные явления
    • Направление: астрономия, астроархеология
    • Приборное направление
    • Направление: история
    • Ваши наблюдения
    • Эволюция
    • Организационные вопросы
    • ГСЧ, ЭСВ и случайные процессы
  • Разное
    • Обсуждение публикаций
    • Обсуждение новостей
    • Видеоматериалы
    • Просто пообщаться
    • Библиотека
    • Колонка исследователя

Календари

  • Основной календарь

Поиск результатов в...

Поиск результатов, которые...


Дата создания

  • Начало

    Конец


Дата обновления

  • Начало

    Конец


Фильтр по количеству...

Регистрация

  • Начало

    Конец


Группа


AIM


MSN


Сайт


ICQ


Yahoo


Jabber


Skype


Город


Интересы


SPAM GUARD

Найдено: 1 результат

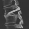
  1. В прошлом году известный питерский специалист по исследованию аномальных явлений кандидат технических наук Сергей Кузионов поделился интересными фактами и наблюдениями. В частности, после 23-ей минуты видеосюжета он рассказал, что работал в США консультантом по последствиям "инопланетных" операций на землянах. На времени 44:25 Сергей говорит о церковных чудесах, в том числе поновлении икон в Питере. Мне лично пришлось исследовать случай ксеноимплантата в позвонок живого человека. Этот человек жив-здоров. Он поэт, композитор, бард - Андрей Школин. Подробности о том, что у него содержится аномального в пятом грудном позвонке в моей статье https://news.vtomske.ru/details/25919-s-shurupom-v-pozvonke-foto Мне интересно знать, фиксировались ли подобные имплантаты в тело людей в Беларуси?
×
×
  • Создать...